
1. 임플란트 재료의 중요성
임플란트 치료를 고려하는 많은 분들이 공통적으로 고민하는 부분은 바로 임플란트 재료입니다. 적절한 임플란트 재료를 선택하는 것은 치료 결과에 직접적인 영향을 미치기 때문이죠. 특히, 임플란트 재료는 안정성과 내구성, 생체 친화성 등이 요구되며, 이는 장기적으로 환자의 구강 건강에 큰 기여를 합니다. 오늘은 임플란트 재료의 선택 기준과 최신 동향에 대해 깊이 있는 논의를 해보겠습니다.

임플란트 재료의 선택에서 중요한 것은 단순히 개인의 경제적인 상황뿐만 아니라, 그 재료의 특성과 연구 결과를 충분히 이해하는 것입니다. 예를 들어, 현재 가장 많이 사용되고 있는 재료는 티타늄으로, 강도가 높고 산화 방지 성질이 뛰어나 생체 적합성 또한 우수하다 알려져 있습니다. 이런 성질 덕분에 티타늄 임플란트는 세계적으로 널리 사용됩니다.
하지만 최근에는 고급 합금이나 세라믹 같은 다양한 임플란트 재료가 개발되면서 선택의 폭이 넓어졌습니다. 이와 같은 새로운 재료들은 보다 강력한 생체 친화성을 제공하며, 환자의 개별적인 구강 환경에 맞춰 선택할 수 있는 옵션이 많아졌습니다. 현대의 치과 의사들은 이러한 다양한 재료를 바탕으로 각 환자의 상황에 맞는 최적의 솔루션을 제공하고 있습니다.



2. 임플란트 재료의 종류
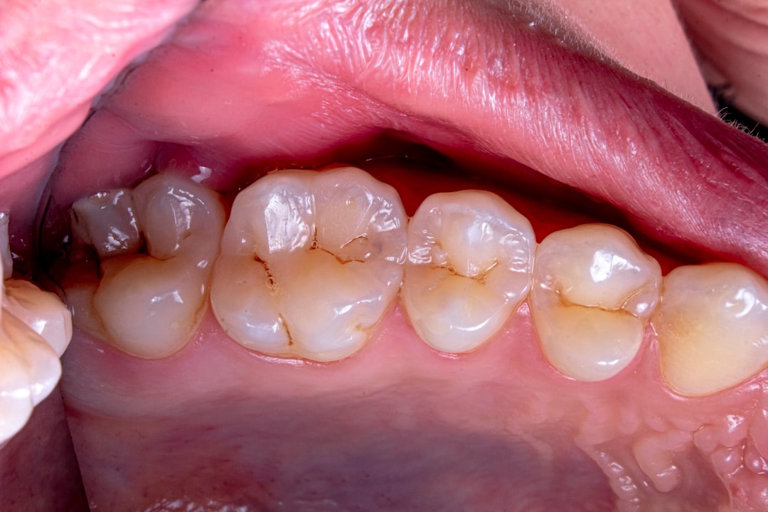
임플란트 재료의 종류에는 주로 티타늄, 지르코니아, 고급 합금 등이 포함됩니다. 티타늄은 경량이면서도 강도가 뛰어나 여러 해부학적 환경에서도 잘 적응합니다. 이와 함께 지르코니아는 비금속 재료로, 미적인 부분에 큰 장점을 가지고 있어 눈에 잘 띄지 않는 임플란트가 가능합니다. 따라서, 미소를 지을 때 더욱 자신감을 가지게 됩니다.
고급 합금 재료는 주로 특정한 환경에서 생체 적합성을 높이기 위해 사용됩니다. 내구성이 뛰어나고 경량인데다, 생체 친화성도 높은 특성 덕분에 이러한 재료가 선호되고 있습니다. 다양한 임플란트 재료의 발전이 진행되고 있으며, 관련 연구가 활발하게 이루어지고 있습니다. 이를 통해 새로운 재료가 더 생기가 넘치고, 특정 요구 사항에 맞는 더욱 향상된 임플란트를 찾아낼 수 있게 됩니다.
임플란트 재료의 발전은 단순히 재료 구성을 넘어서, 각 재료가 어떻게 생체와 상호작용하는지를 중점적으로 연구하는 방향으로 나아가고 있습니다. 이런 연구 결과들은 임플란트가 머물러야 할 환경과 강도, 안정성을 더욱 향상시키기 위해 필수적입니다. 따라서 최신 동향에 대한 정보는 이야깃거리가 가득 차 있습니다.
3. 임플란트 재료비 원가와 가격
임플란트 재료의 가격은 결국 환자가 치과 치료를 받을 때의 최종 비용에 큰 영향을 미칩니다. 일반적으로 임플란트 재료비 원가는 다양한 요소에 따라 다르지만, 대략적인 가격대는 수십만 원에서 시작해 수백만 원에 이르기까지 합니다. 이러한 가격 차이는 공급업체 및 회사의 정책에 따라 크게 달라질 수 있습니다.
예를 들어, 고급 세라믹 재료의 가격은 더 높은 제작 및 처리 비용 때문에 상대적으로 비쌉니다. 하지만 이런 투자는 장기적인 구강 건강에 있어서 반드시 필요한 선택이기도 합니다. 치료 후에 발생할 수 있는 여러 문제들을 예방하기 위해 적절한 임플란트 재료를 선택하는 것이 중요합니다.
최신 연구에 따르면, 다양한 임플란트 재료 집합체는 치료 결과를 크게 변화시킬 수 있다고 하니, 가격 이상의 가치가 있을 수 있습니다. 그러니, 비용 절감만을 고려하기보다는 임플란트 재료의 유형과 그에 따른 특징 및 장단점을 분석하여 합리적인 선택을 하는 것이 중요합니다.
4. 임플란트 뼈이식 재료
임플란트 치료에서 뼈 이식은 매우 중요한 만큼, 뼈 이식에 사용되는 재료 또한 관심의 대상입니다. 뼈이식에는 인공 뼈, 동종 이식, 자가 이식 등 여러 가지 방식이 있는데, 각 방식에 따라 생체 적합성 및 안정성이 달라질 수 있습니다. 인공 뼈가 많은 주목을 받는 이유는 시술 후 회복이 빨라진다는 장점이 있기 때문입니다. 이처럼 뼈이식이 정상적으로 이루어질 수 있도록 하는 적절한 재료를 선택하는 것이 중요합니다.
또한, 다양한 임플란트 재료가 필요할 때 하나님이 만들어진 자신만의 구강 환경에 적합한 재료를 선택하는 것도 중요합니다. 따라서, 임플란트 뼈이식 재료의 선택은 고지된 이론에 따라 적절한 방법을 찾아 각 환자에게 맞는 솔루션을 제공할 수 있게 해야 합니다.
5. 임플란트 치료의 최신 동향
최근 임플란트 치료는 기술의 발전과 함께 더욱 다양하고 전문화된 방향으로 변화하고 있습니다. 특히 디지털 기술이 발전하면서 3D 프린트와 같은 접근 방식이 가능해짐에 따라 각 환자에게 맞춤형 솔루션을 제공할 수 있는 기회가 늘어났습니다. 이는 치료의 예측 가능성을 높이고, 환자의 부담을 크게 줄여줍니다.
또한, 최신 연구 결과에 따르면, 생체 친화성이 우수한 나노 소재와 같은 신소재 활용이 관심을 받고 있습니다. 이 소들은 미세 구조가 적절한 생체 환경을 조성하여 치유와 회복을 빠르게 돕기도 합니다. 앞으로도 임플란트 재료는 지속적으로 발전할 것이며, 이러한 최신 경향을 주목해야 합니다.



결론
임플란트 재료 선택은 개인의 건강과 경제적 부담을 고려하는 중요한 결정사항이며, 잘 알고 선택해야 합니다. 오늘 소개한 임플란트 재료의 종류와 가격, 최신 동향은 여러분의 판단에 큰 도움이 될 것입니다. 이에 따라 커뮤니케이션을 통해 치과 의료진과 협의하는 것이 필요합니다.
| 임플란트 재료 종류 | 특징 | 가격대 |
|---|---|---|
| 티타늄 | 생체 친화성, 강도 우수 | 100만 원~200만 원 |
| 지르코니아 | 미적 가치 우수, 내구성 | 200만 원~400만 원 |
| 고급 합금 | 특정 환경에 생체 적합성 높음 | 300만 원 이상 |
함께 읽어볼 만한 글입니다
청송 벚꽃 명소 탐방, 감성 가득한 봄의 여행길
청송 벚꽃 명소의 매력청송 벚꽃 명소는 매년 봄마다 많은 사람들을 불러모으는 아름다운 장소입니다. 벚꽃이 만개하는 4월, 청송은 하얀 꽃잎이 떨어지는 장관을 연출하며 여행자들에게 환상
geowin4000.jhcin.kr
코스트코 가성비 제품 2025년 추천 리스트
코스트코 가성비 제품의 매력코스트코는 품질 좋은 제품을 대량으로 저렴하게 제공하는 대표적인 리테일러입니다. 많은 소비자들이 코스트코를 찾는 이유는 바로 이 '가성비' 때문인데요, 가격
geowin4000.jhcin.kr
코스트코 냉동식품으로 만드는 간단 저녁 메뉴 5선
코스트코 냉동식품을 활용한 저녁 메뉴바쁜 일상이 반복되는 현대인들에게 저녁 식사는 종종 간편함과 맛을 동시에 충족해야 할 과제가 됩니다. 그렇다면 코스트코 냉동식품은 이러한 저녁 식
geowin4000.jhcin.kr
FAQ
1. 임플란트 재료는 어떻게 선택해야 하나요?
환자의 구강 상황, 의사와의 상담, 가격 등의 요소를 모두 고려하여 신중하게 선택하는 것이 중요합니다.


2. 지르코니아 임플란트의 장점은 무엇인가요?
지르코니아는 금속보다 더 미적인 모습을 제공하며, 생체 친화성이 우수해 각광받고 있습니다.
3. 임플란트 재료비 원가는 어떻게 결정되나요?
임플란트 재료비 원가는 재료의 종류 및 품질, 시장의 수요에 따라 차별화된 가격을 형성합니다.